El dolor de la columna vertebral cervical o cervicalgia es una causa común de consulta médica, en este articulo hablaré sobre el tratamiento quirúrgico de la discopatía cervical, en concreto el implante llamado D-TRAX, utilizado para realizar una artrodesis cervical vía posterior percutánea. Previamente abordamos el tema de la cervicalgia y dimos consejos al respecto.
¿Qué debemos hacer cuando tras meses de persistencia del dolor cervical o de dolor que se irradia a los miembros superiores con acorchamiento o perdida de fuerza que no mejora con fisioterapia o medicación?
Es en estos casos que se realizan las intervenciones quirúrgicas. En la actualidad existe una técnica quirúrgica de artrodesis cervical mínimamente invasiva, mínimamente agresiva, con mínimo daño muscular donde se implanta una prótesis de titanio llamada D-TRAX. Es una cirugía percutánea por vía posterior y sus resultados son muy favorables.
En el tratamiento quirúrgico de una hernia discal cervical la gran mayoría de especialistas optarán por una artrodesis cervical del segmento afectado, conocida por sus siglas ACDF (anterior cervical discectomy and fusión) que con una incisión por la parte anterolateral del cuello se accede hasta el disco afectado y se reemplaza por un espaciador que va a fusionar la vertebra superior e inferior.

Otra alternativa quirúrgica es el reemplazo del disco afectado por una prótesis cervical móvil. Con esto se consigue preservar movilidad y evitar en un futuro la lesión de los discos adyacentes al intervenido. La opción de fusionar o preservar movilidad, es decir prótesis fija o prótesis móvil debe ser consensuada entre el cirujano y el paciente. Explicando los pros y contras de cada intervención.
Existen otras opciones quirúrgicas más complejas como las corpectomías o las fusiones circunferenciales, pero no vamos a hablar de ellos porque son poco frecuentes.
DTRAX
En los últimos años de desarrollo de implantes en cirugía de columna vertebral se agrega una tercera opción de tratamiento quirúrgico. Es el llamado D-TRAX, que es un implante de artrodesis cervical que se coloca por vía posterior de forma percutánea.
Es decir que con 2 mínimas incisiones de menos de 1cm se introducen los implantes de titanio en la articulación facetaria del segmento afectado, con un mínimo daño de la musculatura, logrando la fusión. Con esta cirugía mínimamente invasiva la recuperación postquirúrgica es inmediata así como la estancia hospitalaria.
Este dispositivo esta indicado en ciertas patologías y es el especialista quien debe valorar si el paciente es candidato o no al implante. Una de las más importantes indicaciones es la pseudoartrosis o movilización del segmento operado previamente. También en los casos de prótesis cervicales con osificación heterotrópica o hipermovilidad también es la mejor opción.
Si quieres ver el video del caso clínico en el siguiente enlace: VER VIDEO

CASO CLINICO: DTRAX
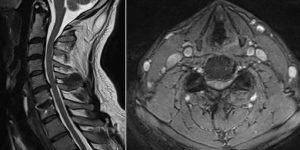
Paciente varón 45 años, operado hace 2 años artrodesis C6-C7. Acude por presentar dolor cervical y persistencia de hormigueo y acorchamiento en miembro superior izquierdo, sobre todo en segundo y tercer dedos. El acorchamiento no desapareció tras la primera cirugía. Se solicita una resonancia magnética de columna cervical y un electromiograma.
RMN Columna Cervical: Cambios postquirúrgicos con material de fijación. Hernia discal C5-C6.

Hernia discal C5-C6, material de fijación C6-C7
Electromiograma: Cambios denervatorios crónicos en miotoma C7 izquierdo
Paciente presenta síndrome de nivel adyacente, es decir el disco inmediato superior a la cirugía previa se lesiona produciéndose la hernia discal. Tras las pruebas se decide reintervenir al paciente. En este caso consideramos que la artrodesis percutánea de columna cervical con D-TRAX es la mejor opción quirúrgica. Al abordar el problema por vía posterior evitamos la fibrosis de la primera cirugía. También evitamos la posibilidad de lesionar estructuras nerviosas importantes. Además la recuperación del paciente será más rápida.
Cirugía realizada en hospital HM Puerta del Sur en Móstoles. Controles radiológicos de la intervención quirúrgica.

RX Control Artrodesis Columna Cervical
Tras la cirugía el paciente utilizó un collarín blando por un corto periodo de tiempo. Tres meses después de la intervención y tras algunas sesiones de rehabilitación, el paciente vuelve a su actividad laboral. No presenta dolor cervical. Tiene mínimas molestias con la extensión máxima del cuello. El hormigueo que presentaba previamente no ha desaparecido pero ha mejorado notablemente y no le incomoda.

Herida quirúrgica – Cicatriz 3 meses después
Si presentas dolor cervical déjanos tus datos y nos pondremos en contacto contigo para solucionarlo con el mejor tratamiento:



Buenas tardes, el paciente regresó a su actividad laboral, que tipo de tareas? En caso de tareas de mecánica pesada seria lo mismo o puede variar?
Saludos y gracias.
Los pacientes deben modificar puesto de trabajo para no volver a lesionarse.
Un saludo
Que ejercicios puedo hacer después de una operación de estenosis cervical,cirugía posterior con fijación de varias vértebras,hace dos años,me duele parte de arriba y hombros,qué ejercicios puedo hacer para fortalecer espalda,gracias
Este es un enlace de la sociedad de medicina física y rehabilitación donde tienes muchas tablas
https://ejercicios.sermef.es/#/programas?zona=6343e61fd1c859edf64311c8&cuadro=6343e457d1c859edf64311b5
Un saludo