Tratamientos y patologías de columna
por el Dr. Edgar Martín Castañeda
Trocanteritis: Causas, síntomas y tratamientos que funcionan
La trocanteritis es una inflamación de la bursa situada en el trocánter mayor del fémur. Esta afección causa dolor en la parte lateral de la cadera y puede...
Nucleoplastia: Solución efectiva para hernias discales
La nucleoplastia es un procedimiento médico mínimamente invasivo destinado al tratamiento de hernias o protrusiones discales. Este tratamiento busca...
Ciática: Síntomas, Causas y Tratamientos Efectivos
Descubre cómo identificar los síntomas de la ciática, sus principales causas y los tratamientos más efectivos para aliviar el dolor. No dejes que esta condición afecte tu vida más de lo necesario. Agenda tu consulta hoy mismo para encontrar el mejor tratamiento para ti.
Mielopatía cervical: causas, síntomas y tratamiento
La mielopatía cervical es un trastorno que afecta la médula espinal en el cuello, común en personas mayores pero no exclusivo de ellas. Resulta de la compresión medular y provoca síntomas neurológicos variados. Entre las causas, se encuentran degeneraciones por edad, hernias de disco y traumatismos, todos afectando significativamente la calidad de vida. Un diagnóstico y tratamiento oportunos son fundamentales para mejorar el pronóstico y el bienestar del paciente.
Espondilolistesis: Causas, Síntomas y Tratamientos Efectivos
La espondilolistesis es una afección espinal que puede limitar la movilidad y causar dolor. Un enfoque de tratamiento personalizado es crucial para maximizar la recuperación y mejorar el bienestar de los pacientes.
Cervicalgia: Causas, Síntomas y Tratamientos Efectivos
La cervicalgia es una afección común que se caracteriza por el dolor en la región del cuello. Puede presentarse de forma aguda o crónica, afectando la calidad...
Espondilodiscitis: Definición, Diagnóstico y Tratamiento Completo
La espondilodiscitis, es una infección que afecta a la columna vertebral. Aunque poco frecuente, su incidencia está aumentando debido al envejecimiento de la...
Escoliosis: síntomas, diagnóstico y tratamiento
La escoliosis es una condición médica en la que la columna vertebral se curva de forma anormal, principalmente en forma de S o de C. Puede manifestarse con...
Síndrome cola de caballo: causas, síntomas y tratamientos principales
El síndrome de la cola de caballo o cauda equina es una condición médica grave que afecta la parte final de la médula espinal. Se produce cuando los nervios...
Fusión vertebral por endoscopia: técnica innovadora para el tratamiento de la columna
La fusión vertebral por endoscopia, también llamada endofusión, es una avanzada técnica quirúrgica mínimamente invasiva utilizada para tratar múltiples patologías de la columna vertebral. Con pequeñas incisiones y el uso de un endoscopio, este procedimiento no solo reduce significativamente los tiempos de recuperación y el dolor postoperatorio, sino que también disminuye el riesgo de complicaciones y conserva la anatomía vertebral en mayor medida comparada con la cirugía abierta tradicional.
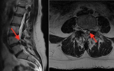
Hernia discal: Síntomas, causas y tratamientos
La hernia discal o hernia de disco es una afección que ocurre cuando el núcleo pulposo del disco intervertebral se desplaza a través del anillo exterior...
Fractura vertebral: Causas, síntomas y tratamientos
La fractura vertebral es una lesión seria que puede tener graves consecuencias para la salud y calidad de vida. Puede ocurrir por impacto de alta energía o en...
Espondilolisis: una visión detallada de esta afección de la columna vertebral
La espondilolisis es una afección de la columna vertebral que afecta especialmente a atletas jóvenes. Se caracteriza por un defecto en la pars...
Alivio del dolor lumbar: consejos y tratamientos para mejorar tu calidad de vida
En el siguiente artículo vamos a hablar sobre el alivio del dolor lumbar: consejos y tratamientos para mejorar tu calidad de vida. Nos centraremos en la...
Beneficios y ejercicios del cuadrado lumbar: guía completa
El cuadrado lumbar es un músculo ubicado en la región posterior e inferior del tronco. Cumple un papel importante en la estabilización y movimiento de la...
Psoas iliaco: El músculo clave para prevenir lesiones y mejorar el rendimiento
En el siguiente articulo hablaremos de las Claves para el Mantenimiento y Cuidado del Psoas Iliaco. El psoas iliaco es un músculo de gran importancia en el...
Síndrome del glúteo medio: causas, síntomas y tratamiento
El síndrome del glúteo medio es una afección dolorosa que afecta la región glútea. Se origina por la inflamación y lesiones en los tendones del músculo glúteo...
Descubre cómo el PRP puede tratar eficazmente la artrosis y las lesiones tendinosas
Descubre cómo el PRP (Plasma rico en plaquetas) puede tratar eficazmente la artrosis y las lesiones tendinosas o tendinopatias. El el siguiente articulo vamos...
Quiste de Baker: Síntomas, causas y tratamientos del quiste poplíteo
El quiste de Baker es una acumulación de líquido articular detrás de la rodilla. Puede causar una protuberancia, tirantez y dolor al realizar ciertas...
FRACTURA VERTEBRAL OSTEOPORÓTICA
La fractura vertebral osteoporótica es una complicación común entre las personas mayores de 60 años que padecen osteoporosis. Es una afección que, aunque no...
Dolor de cadera y espalda: ¿Cómo diferenciarlos?
El dolor en la cadera y en la espalda pueden presentarse juntos, lo que complica la identificación de su origen. Esto puede ser un problema ya que su...
Síndrome del nivel Adyacente o del Segmento Adyacente
El síndrome de nivel adyacente o del segmento adyacente es la complicación más frecuente a largo plazo de una artrodesis vertebral. La artrodesis vertebral es...
QUISTE FACETARIO SINOVIAL LUMBAR: Síntomas, Tratamientos y Cirugía Endoscópica
El quiste facetario sinovial lumbar es una patología que afecta la columna vertebral de las personas, en la región lumbar. Se trata de un engrosamiento de la...
Medicina regenerativa: Qué es y en qué consiste
En este artículo vamos a ver como liberar el potencial de la medicina regenerativa. Es un campo emergente de la ciencia médica que tiene el potencial de...
5 consejos para mantener una espalda saludables
Esta es una guía esencial con 5 consejos para mantener una espalda saludable a medida que envejecemos, que destaca la importancia de la salud espinal y ofrece...
Artrosis facetaria lumbar: Cuando las facetas causan dolor
La artrosis facetaria lumbar es una afección que puede pasar desapercibida en muchas personas, pero es una causa importante de dolor lumbar crónico. Esta...
Estenosis de canal lumbar: síntomas, causas y tratamiento
La estenosis de canal lumbar es una afección que afecta la columna vertebral y se caracteriza por el estrechamiento del canal vertebral en la región lumbar. Esta guía te proporcionará una comprensión completa de la estenosis de canal lumbar, sus síntomas, causas y opciones de tratamiento
Postratamiento hernia discal
¿Cuándo empezaré a caminar después de la operación? Los pacientes intervenidos mediante Discectomía endoscópica y que no ha presentado ninguna complicación...
Síndrome de Bertolotti: Causas, síntomas y tratamiento eficaz
El síndrome de Bertolotti, también conocido como sindrome de Castellvi, es una anomalía congénita que afecta la zona lumbosacra de la columna vertebral. Se...
Síndrome Iliolumbar
El síndrome iliolumbar se encuentra como una de las causas de dolor lumbar inespecífico. Muchas veces el dolor lumbar tras estudios y pruebas no se puede...
Cirugía endoscópica de columna vertebral
La cirugía endoscópica de columna es una técnica mínimamente invasiva que permite tratar diversas patologías de la columna vertebral. Utiliza un endoscopio...
Lesiones medulares prevenibles – Zambullidas
Las lesiones medulares traumáticas son bastante frecuentes. Solo en España se reportan aproximadamente 1,000 casos al año. Mas del 40% de los casos se deben a...
Artrodesis lumbar percutánea
La artrodesis lumbar, es decir la fijación de dos o más vértebras sigue siendo la cirugía que más se realiza en la columna. Ya sea cirugía abierta o...
SACROILITIS o SACROILEITIS: Dolor o inflamación de la articulación sacroiliaca
La sacroilitis o sacroileitis se refiere al dolor o inflamación de la articulación sacroilíaca, que puede afectar de forma unilateral o bilateral. Es decir...
Artrodesis percutánea
El dolor de la columna vertebral cervical o cervicalgia es una causa común de consulta médica, en este articulo hablaré sobre el tratamiento quirúrgico de la...
RECALIBRADO COLUMNA LUMBAR
La estenosis de canal lumbar es un proceso degenerativo que consiste en estrechamiento del canal medular. Es un proceso lento, los pacientes pueden tener...
Artroplastia de columna cervical
Las prótesis de disco en columna cervical, procedimiento llamado artroplastia es una intervención cuyo objetivo es mantener la movilidad del disco afectado....
Estenosis severa de columna
El siguiente caso es de una paciente intervenida recientemente por una estenosis severa en la columna lumbar, nivel L4-L5. La estenosis en la columna...
Estenosis de Canal Lumbar: causas, síntomas y tratamientos
La estenosis de canal lumbar es un estrechamiento del canal raquídeo que ejerce presión sobre la médula y la raíz espinal. Puede causar síntomas como dolor...
Coccigodinia: Qué es, síntomas y tratamiento
La coxigodinia o coccigodinia es el dolor del coxis, así es cómo se llama el último hueso de la columna, y fue descrita por primera vez en 1859 por Simpson...
OSTEOPOROSIS: Causas, Síntomas y Tratamiento
La osteoporosis es una enfermedad que provoca una disminución de la densidad ósea, volviendo los huesos más porosos y frágiles. Afecta tanto a hombres como a...
Bloqueo caudal – Hiato sacro
Para el manejo de las hernias discales que se producen principalmente en la columna lumbar y mas frecuentemente en el segmento vertebral L5 S1 un tratamiento...
DOLOR DE ESPALDA
El dolor de espalda es uno de los problemas médicos más comunes. 8 de cada 10 personas sufrirán dolor de espalda en algún momento de sus vidas. El dolor de...
EL SEXO Y ENFERMEDAD
¿COMO RESOLVER LOS PROBLEMAS SEXUALES DE LOS PACIENTES QUE TIENEN ENFERMEDADES CRONICAS? La salud sexual es importante y parece que no le damos la debida...
CIRUGIA ENDOSCOPICA COLUMNA LUMBAR
La estenosis de canal tambien se puede tratar endoscopicamente. A traves de una pequeña incision y con minimo daño se puede realizar una descompresión...
Rizolisis por radiofrecuencia: Tratamiento eficaz para el dolor crónico de espalda
La rizolisis es un procedimiento médico para tratar el dolor crónico de origen facetario en la columna vertebral. Se realiza con punciones en la zona...













































