La mielopatía cervical es un trastorno que afecta la médula espinal en la zona del cuello. Suelen sufrirla personas mayores, aunque puede presentarse a cualquier edad. Consiste en la compresión de la médula, lo que provoca diversos síntomas neurológicos.
Las causas más comunes incluyen degeneraciones relacionadas con la edad, hernias de disco y traumas. Esta condición puede llevar a problemas significativos en la calidad de vida, por lo que es fundamental un diagnóstico y tratamiento adecuados.
¿Qué es la mielopatía cervical?
Se trata de una afección neurológica que resulta de la compresión de la médula espinal en la región cervical. Esta condición, que suele prevalecer en personas mayores, afecta la comunicación entre el cerebro y el cuerpo.
Definición y contexto
La mielopatía cervical implica el deterioro de las funciones neurológicas debido a la presión ejercida sobre la médula espinal. Esta presión puede derivar de diversas causas, desde cambios degenerativos hasta lesiones traumaticas. La identificación temprana de esta afección es crucial para evitar complicaciones severas.
Anatomía de la columna cervical
Conocer la anatomía de la columna cervical es fundamental para entender cómo se produce la mielopatía cervical. La columna cervical está conformada por vértebras, discos intervertebrales, y la médula espinal, todas ellas interrelacionadas en su función.
Estructura y función de la médula espinal
La médula espinal, ubicada en el canal vertebral, es una vía crítica para la transmisión de señales entre el cerebro y el resto del cuerpo. En la región cervical, la médula espinal se encarga de controlar varias funciones motoras y sensitivas de los brazos, el tronco y las piernas. Una compresión en esta área puede provocar síntomas debilitantes, como debilidad y pérdida de coordinación.
Relación con discos intervertebrales
Los discos intervertebrales actúan como amortiguadores entre las vértebras. Con el paso del tiempo, estos discos pueden degenerarse, alterando su capacidad de proporcionar soporte estructural. Si un disco se hernia o se desgasta, puede presionar la médula espinal o los nervios que se desprenden de ella, contribuyendo al desarrollo de la mielopatía cervical. La salud de estos discos es, por lo tanto, un aspecto clave en la prevención de esta condición.

Causas de la mielopatía cervical
La mielopatía cervical puede originarse por diversas condiciones que generan compresión en la médula espinal en la zona cervical. Estas causas pueden categorizarse en factores degenerativos, traumas y otras condiciones, cada una contribuyendo de manera significativa al desarrollo de esta patología.
Factores degenerativos
Los factores degenerativos son una de las causas más comunes de la mielopatía cervical. A medida que avanza la edad, la columna cervical sufre cambios degenerativos que pueden provocar problemas en la médula espinal.
Espondilosis cervical
La espondilosis cervical se refiere a la degeneración de las vértebras del cuello y los discos intervertebrales. Este proceso puede llevar a la formación de osteofitos (crestas óseas) que presionan la médula espinal, provocando síntomas neurológicos. La espondilosis es frecuente y afecta especialmente a personas mayores.
Discos intervertebrales y hernia discal
Los discos intervertebrales funcionan como amortiguadores entre las vértebras. Con el tiempo, estos discos pueden desgastarse, lo que puede llevar a una hernia discal. Esta condición ocurre cuando el núcleo del disco se desplaza y presiona las estructuras nerviosas, provocando dolor e incomodidad en el cuello y extremidades.
Traumas y lesiones
Las lesiones en la región cervical, ya sean provocadas por accidentes deportivos, caídas o lesiones vehiculares, pueden dañar la médula espinal. Estos traumas son una causa significativa de mielopatía cervical, especialmente en personas jóvenes y activas.
Otras causas
Existen también otras condiciones que pueden generar mielopatía cervical, que incluyen patologías menos comunes pero igualmente relevantes para la salud cervical.
Tumores en la región cervical
La presencia de tumores en la zona cervical puede afectar la médula espinal, ya sea por compresión directa o por la invasión de su espacio. Los tumores pueden ser benignos o malignos y generan diversos síntomas dependiendo de su ubicación y tamaño.
Enfermedades inflamatorias y autoinmunes
Ciertas enfermedades autoinmunes, como la artritis reumatoide, pueden causar inflamación en las articulaciones de la columna cervical. Esta inflamación puede llevar a la compresión de la médula espinal, resultando en los síntomas asociados con la mielopatía cervical. Otras condiciones inflamatorias también pueden contribuir a esta problemática.
Síntomas y signos clínicos
Los síntomas de la mielopatía cervical pueden variar en intensidad y tipo. Estos signos clínicos son fundamentales para identificar la enfermedad y su grado de afectación en la vida diaria del paciente.
Dolor y rigidez en el cuello
El dolor en el cuello es uno de los síntomas más comunes y suele presentarse como una sensación persistente de incomodidad. La rigidez muscular también puede acompañar a este dolor, dificultando la movilidad del cuello. Los pacientes pueden experimentar un rango de movimiento limitado, lo que puede afectar sus actividades cotidianas. Este malestar puede incluso irradiarse hacia los hombros y la parte superior de la espalda, causando una molestia considerable.
Debilidad y pérdida de sensibilidad
La debilidad en los miembros es un signo clínico crítico que puede ser resultado de la compresión de la médula espinal. Los pacientes pueden notar una disminución en la fuerza, lo que impacta su capacidad para realizar tareas que requieren habilidades motoras simples.
En manos y brazos
La debilidad en las manos y los brazos puede manifestarse como dificultad para sostener objetos o problemas al escribir. Estos síntomas pueden ir acompañados de una sensación de hormigueo o entumecimiento que afecta la destreza manual.
En piernas y coordinación
La debilidad en las piernas puede afectar significativamente el equilibrio. Este síntoma puede llevar a caídas frecuentes o a una sensación de inestabilidad al caminar. Además, puede haber una pérdida de la coordinación motora fina, lo que complica la realización de tareas cotidianas.
Problemas de coordinación y equilibrio
Los problemas de coordinación y equilibrio son síntomas que resultan de la afectación neurológica en la médula espinal. Los pacientes pueden experimentar dificultad para mantenerse en pie, así como un aumento en la propensión a tropezar o caer. Esta inestabilidad puede limitar la movilidad y, en consecuencia, la calidad de vida del afectado.
Diagnóstico de la mielopatía cervical
El proceso de diagnóstico implica una evaluación exhaustiva y una serie de pruebas que ayudan a los médicos a identificar la mielopatía cervical y determinar su gravedad.
Evaluación médica inicial
La evaluación médica inicial es crucial para un diagnóstico preciso. Consiste en recolectar información detallada sobre los síntomas presentados por el paciente así como en realizar un examen físico completo.
Historia clínica y examen físico
Durante la historia clínica, el médico indaga sobre:
- La naturaleza y duración de los síntomas.
- Antecedentes médicos relevantes.
- Cualquier tratamiento previo que se haya realizado.
El examen físico incluye pruebas de fuerza muscular, coordinación y reflejos, que permiten valorar la función neurológica. Esta evaluación ayudará a establecer la relación entre los síntomas y la posible compresión de la médula espinal.
Pruebas de imágenes
Las pruebas de imagen son fundamentales para visualizar la anatomía cervical y detectar anomalías que puedan estar causando la mielopatía.
Resonancias magnéticas y radiografías
La resonancia magnética (RM) es uno de los estudios más efectivos, ya que proporciona imágenes detalladas de los tejidos blandos, incluyendo la médula espinal y los discos intervertebrales. Las radiografías son útiles para evaluar la alineación de las vértebras y detectar cambios óseos.
Tomografías computarizadas
La tomografía computarizada (TC) también se utiliza, especialmente cuando se requieren imágenes más precisas del hueso. Este estudio puede ser especialmente útil cuando se sospechan fracturas o lesiones en la columna cervical.
Estudios adicionales
Si las pruebas de imagen no ofrecen suficiente información, se pueden solicitar estudios adicionales para profundizar en el diagnóstico.
Electromiografía (EMG)
La electromiografía es un estudio que evalúa la actividad eléctrica de los músculos y el estado de los nervios. A través de este examen, es posible determinar si hay daño nervioso asociado a la compresión de la médula espinal, proporcionando información valiosa para la formulación de un plan de tratamiento adecuado.

Tratamientos disponibles
El tratamiento de la mielopatía cervical puede variar en función de la gravedad de los síntomas y la situación del paciente. Se puede optar por un enfoque conservador o, en algunos casos, por opciones quirúrgicas para aliviar la compresión en la médula espinal.
Enfoque conservador
En los casos leves a moderados, las siguientes estrategias pueden ser efectivas:
Medicamentos para aliviar el dolor
Se prescriben analgésicos y antiinflamatorios no esteroides (AINEs) para reducir el dolor y la inflamación. En situaciones de dolor más intenso, se pueden considerar otros medicamentos, como los opiáceos, aunque su uso debe ser supervisado para evitar efectos adversos y dependencia.
Terapia física y ocupacional
La terapia física se enfoca en ejercicios diseñados para mejorar la movilidad y fortalecer la musculatura del cuello y la parte superior del cuerpo. Esto puede ayudar a aliviar la tensión y mejorar la estabilidad. La terapia ocupacional asiste al paciente en aprender estrategias para llevar a cabo actividades diarias, facilitando la adaptación a las limitaciones físicas.
Opciones quirúrgicas
Cuando los tratamientos conservadores no proporcionan alivio adecuado, se puede considerar la cirugía. Este enfoque tiene como objetivo descomprimir la médula espinal y estabilizar la columna cervical.
Descompresión y estabilización espinal
Entre las intervenciones quirúrgicas, la descompresión puede incluir técnicas como la laminectomía, donde se elimina parte del hueso que está ejerciendo presión sobre la médula. La estabilización se enfoca en la fusión de las vértebras para asegurar que no haya movimiento excesivo en la columna, lo que puede contribuir a la compresión de la médula espinal.
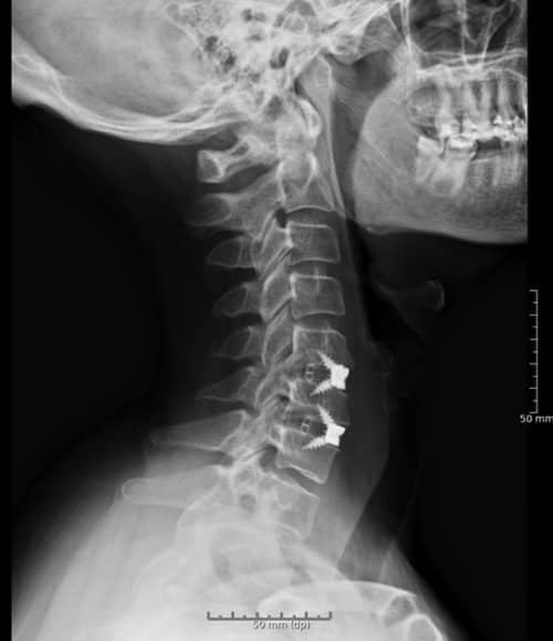
Discectomía cervical anterior
Este procedimiento implica la eliminación de un disco intervertebral dañado que está presionando sobre la médula espinal o las raíces nerviosas. Se realiza a través de una incisión en la parte anterior del cuello, lo que permite al cirujano acceder a la columna cervical y realizar la intervención de manera efectiva.

Mielopatía cervical e incapacidad permanente
La mielopatía cervical puede acarrear graves consecuencias en la vida diaria de las personas afectadas, especialmente en lo que respecta a su capacidad para trabajar y realizar actividades cotidianas. Esta sección aborda la relación entre esta condición y la posible incapacidad permanente que puede ocasionar.
Evaluación legal y médica
Para determinar si la mielopatía cervical ha generado una incapacidad permanente, es esencial realizar una evaluación exhaustiva que combine criterios médicos y legales. Este proceso incluye:
-
Examen médico detallado
Se llevan a cabo pruebas físicas y neurológicas para evaluar el estado de la médula espinal y determinar el nivel de deterioro que presenta el paciente.
-
Historia clínica completa
Un historial médico bien documentado que considere los síntomas, la evolución de la enfermedad y los tratamientos realizados ayudará a los profesionales a definir el grado de incapacidad.
-
Informes periciales
Los informes elaborados por especialistas en medicina legal también juegan un rol clave en la valoración de la incapacidad, proporcionando una perspectiva objetiva sobre la condición del paciente.
Impacto en la calidad de vida
La mielopatía cervical tiene un impacto significativo en la calidad de vida de quienes la padecen. Las limitaciones físicas y funcionales pueden resultar en:
- Restricciones en las actividades laborales, con una posible reducción de la capacidad para desempeñar trabajos que requieran esfuerzo físico o coordinación.
- Incapacidad para realizar tareas diarias como vestirse, cocinar o trasladarse, lo que puede generar dependencia de otros.
- Alteraciones emocionales y psicológicas, como ansiedad y depresión, consecuencia directa del enfrentamiento a la enfermedad y sus limitaciones.
La combinación de estos factores destaca la necesidad de una evaluación y tratamiento adecuados para mitigar las repercusiones de esta enfermedad en la vida cotidiana del paciente.
Consecuencias y pronóstico
Las consecuencias de la mielopatía cervical pueden ser significativas y afectan la calidad de vida de los pacientes. El pronóstico depende de varios factores, incluyendo la gravedad de la afección y la prontitud del tratamiento. Un abordaje adecuado puede mejorar el estado neurológico y funcional de los individuos afectados.
Recuperación tras el tratamiento
La recuperación después del tratamiento de la mielopatía cervical puede variar según la naturaleza del tratamiento y la gravedad de la compresión medular. Algunos puntos clave incluyen:
- Tiempo de recuperación: La recuperación total puede tomar meses e incluso años. Los resultados dependen de la intervención quirúrgica y del estado general del paciente.
- Mejoras funcionales: Muchos pacientes experimentan mejoras en su capacidad para realizar actividades diarias, aunque algunas limitaciones pueden persistir.
- Rehabilitación: Programas de fisioterapia y terapia ocupacional son fundamentales para maximizar la recuperación funcional y prevenir futuras complicaciones.
Impacto a largo plazo en los pacientes
El impacto a largo plazo de la mielopatía cervical puede ser significativo. Algunos aspectos a considerar son:
- Discapacidad persistente: En algunos casos, los pacientes pueden experimentar discapacidad a largo plazo, afectando su capacidad para trabajar y realizar tareas cotidianas.
- Problemas emocionales: La incapacidad para llevar a cabo actividades normales puede inducir ansiedad, depresión o estrés post-traumático en los pacientes.
- Necesidad de atención continua: Muchos pacientes requieren seguimiento médico y ajustes en el tratamiento para manejar síntomas residuales.
Es fundamental que los pacientes y sus familias tengan expectativas realistas sobre el pronóstico y se preparen para los posibles cambios en su estilo de vida. Estos factores son esenciales para una adaptación efectiva y un manejo exitoso de la enfermedad a largo plazo.
Conclusiones
La mielopatía cervical es una afección compleja que impacta considerablemente la salud neurológica de los pacientes, especialmente cuando no se diagnostica y trata a tiempo. Su comprensión pasa por reconocimientos de su etiología y su desarrollo, que en gran parte se atribuyen a cambios degenerativos y traumas de la región cervical. Reconocer los síntomas, como el dolor y la debilidad muscular, es esencial para una intervención temprana y efectiva.
Los tratamientos, que van desde enfoques conservadores hasta intervenciones quirúrgicas, pueden variar dependiendo de la gravedad y las necesidades específicas del paciente, pero deben centrarse siempre en la descompresión de la médula espinal y la estabilización de la columna vertebral.
En última instancia, una acción médica oportuna y un tratamiento adecuado son cruciales para mejorar el pronóstico y la calidad de vida de los individuos afectados por esta afección debilitante.
Si usted o alguien que conoce tiene mielopatia cervical u otras afecciones relacionados con la columna, no dude en solicitar una consulta con el Dr. Edgar Castañeda, traumatólogo experto en columna vertebral.
Con su vasta experiencia y dedicación a sus pacientes, el Dr. Castañeda puede proporcionar un diagnóstico preciso y un plan de tratamiento personalizado. No espere — su salud y bienestar dependen de la acción oportuna.




Hola, tras ser intervenida de estenosis cervical con mielopatía y estenosis lumbar severa, he sido diagnosticada de mielomalacia con disestesias en hemicuerpo derecho, me han informado que irá empeorando según vaya envejeciendo (tengo 58 años).
¿Puede decirme que me supondrá ese deterioro? Gracias
Las cirugías de mielopatia son para evitar que avance la enfermedad. Un saludo